top of page
Estudante Universitária
Tecnologias em Ciências da Vida e do Ambiente
Projetos submetidos de tecva:
-
LegoWedo 2.0


-
Criação de uma borboleta no LegoWedo e de um casulo na Impressora 3D
(Word)
(PowerPoint)
-
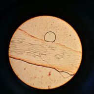
Observação de células vegetais ao microscópio
Células da epiderme da cebola com corante vermelho-neutro
Células da epiderme da cebola com corante azul-metileno
Epitélio Lingual

bottom of page








